Propulsores Mandibulares

A má oclusão de Classe II e sua etiologia
Um dos tipos mais comuns de más oclusões é a Classe II, que acomete em torno de 40 % dos pacientes na faixa dos 12 anos.
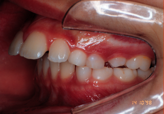
Existem vários tipos de Classe II, que podem surgir devido a diferentes problemas de crescimento nos ossos (maxila e mandíbula) e/ou no posicionamento dos dentes (superiores e inferiores). Em muitos casos, o paciente caracteriza-se por apresentar um menor crescimento da mandíbula (arcada inferior) em relação à maxila (arcada superior). Além disso, é comum os dentes anteriores superiores estarem inclinados para frente, e os inferiores para trás, o que faz com que apareça um grande espaço (trespasse horizontal; “overjet”) entre os incisivos. Normalmente, os incisivos superiores devem estar apenas 1 a 2 mm na frente dos inferiores.

A má oclusão de Classe II pode se manifestar precocemente, prejudicando não só a estética, mas também algumas funções essenciais, como a mastigação, a deglutição e a fonação. Infelizmente, não há uma correção espontânea dessa má oclusão com o passar dos anos, e sim um agravamento no “overjet”, devido a uma retrusão dos incisivos inferiores, ou seja, a Classe II não se autocorrige.
Tratamento da retrusão mandibular: Herbst ou PowerScope
A abordagem terapêutica da Classe II pode variar de acordo com a etiologia, e também considerando a idade do paciente, e o estágio do desenvolvimento da dentição.
Quando o problema é a falta de crescimento da mandíbula, o ideal seria colocar um aparelho (funcional) para estimular o crescimento mandibular. Antigamente, indicava-se o pico do surto de crescimento puberal para começar o tratamento, o qual acontece em torno dos 10 a 12 anos nas meninas, e dos 12 a 14 nos meninos. Hoje, dependendo do problema, a literatura indica o começo mais cedo, por volta dos 8 anos.
A principal indicação do aparelho funcional na correção da Classe II esquelética é a deficiência mandibular. O crescimento da mandíbula pode ser estimulado clinicamente, porém não em todos os pacientes com Classe II. Os pacientes com melhor resposta são os meso ou braquifaciais (rosto quadrado) com mordida profunda.
Nos indivíduos que já completaram seu crescimento, e cuja desarmonia esquelética é tão grande que a magnitude do movimento dentário (retração superior ou protrusão inferior) necessária para eliminar o trespasse horizontal é muito grande para permitir um resultado estável ou estético (facial), uma possível solução seria a cirurgia ortognática associada ao tratamento ortodôntico.
Há vários tipos de aparelhos funcionais para corrigir a Classe II. De forma geral podemos dividi-los em móveis e fixos. Devido a falta de colaboração das crianças na utilização dos aparelhos móveis, damos preferência em utilizar os fixos.
Aparelho de Herbst
Nosso aparelho de escolha para o tratamento do retrognatismo mandibular em crianças na fase de crescimento é o aparelho de Herbst. Ele é o mais utilizado no mundo para corrigir essa alteração.

Nosso consultório é referência na utilização do aparelho de Herbst no Brasil, tendo já tratado mais de 300 pacientes com esse aparelho. O objetivo principal deste aparelho é estimular o crescimento da mandíbula, avançando-a anteriormente, por meio da utilização de um sistema telescópico constituído de um tubo (superior) e de um pistão (inferior)”, normalmente com um ano de uso. Existem vários tipos de aparelhos de Herbst, e após a avaliação da documentação ortodôntica é possível avaliar qual o aparelho mais indicado para cada tipo de má oclusão.
O aparelho de Herbst não interfere na abertura e no fechamento da boca ou mesmo na mastigação dos alimentos. Entretanto, o paciente terá dificuldade para se alimentar durante a primeira semana, pois algum aumento de sensibilidade nos dentes ou na musculatura facial é normal nos primeiros dias. Qualquer analgésico pode ser utilizado para aliviar a dor. Após alguns dias, ele estará apto a se alimentar satisfatoriamente, devendo evitar alimentos duros ou pegajosos. A parte interna da bochecha ficará irritada até que a mucosa se torne mais queratinizada. Uma pomada como Omcilon A, em orabase, pode ser útil. Após alguns dias, o paciente achará que esse é um aparelho fácil de ser utilizado.



Num tratamento da Classe II com o aparelho de Herbst, muitas vezes começa-se com a instalação de aparelho Disjuntor da maxila, pois a arcada superior pode estar pequena, e deve ser alargada. Em torno de 1 mês após a disjunção, parte-se para a instalação do aparelho de Herbst, que deverá ser utilizado por 12 meses. Após a adaptação inicial do Herbst, monta-se o aparelho fixo com bráquetes na arcada superior. O objetivo é ir alinhando os dentes superiores ao mesmo tempo em que corrigimos a posição da mandíbula. Portanto, o paciente fica 12 meses com o Herbst, e com o aparelho fixo na arcada superior. Remove-se o Herbst, e monta-se o aparelho fixo na arcada inferior. Ai, passa-se para a fase final do tratamento, onde serão ajustados os detalhes finais visando um perfeito encaixe entre os dentes. Essa fase deve durar de 18 meses a 24 meses. Após a finalização do tratamento, remove-se o aparelho fixo e instalam-se as contenções nas arcadas superior e inferior.


Aparelho PowerScope
Já o aparelho PowerScope é um poderoso propulsor mandibular, e também serve para o tratamento da má oclusão de Classe II. De instalação simples e confortável para os pacientes, o PowerScope atua mais nos dentes, enquanto o Herbst atua mais no crescimento ósseo. Portanto, o Herbst é empregado mais em crianças em fase de crescimento, e o PowerScope é mais utilizado em adultos, e é o mais moderno propulsor da atualidade. Ele é fabricado pela empresa American Orthodontics, da qual o Dr. Moro é o Speaker para a América Latina.

Muitos pacientes adultos que possuem retrusão mandibular, e possuem a indicação para o tratamento cirúrgico, preferem não fazer a cirurgia ortognática. Nesses casos há a possibilidade de um tratamento compensatório, seja com a extração de pré-molares superiores ou com utilização de propulsores mandibulares fixos. A extração do pré-molares superiores com retração dos incisivos superiores têm grande chance de resultar no achatamento do perfil, principalmente nos casos que apresentam um ângulo nasolabial normal e um grande overjet. Nesses casos prefere-se utilizar um propulsor fixo como o PowerScope, que vai distalizar (empurrar para trás) um pouco os dentes superiores e mesializar (empurrar para frente) os inferiores.
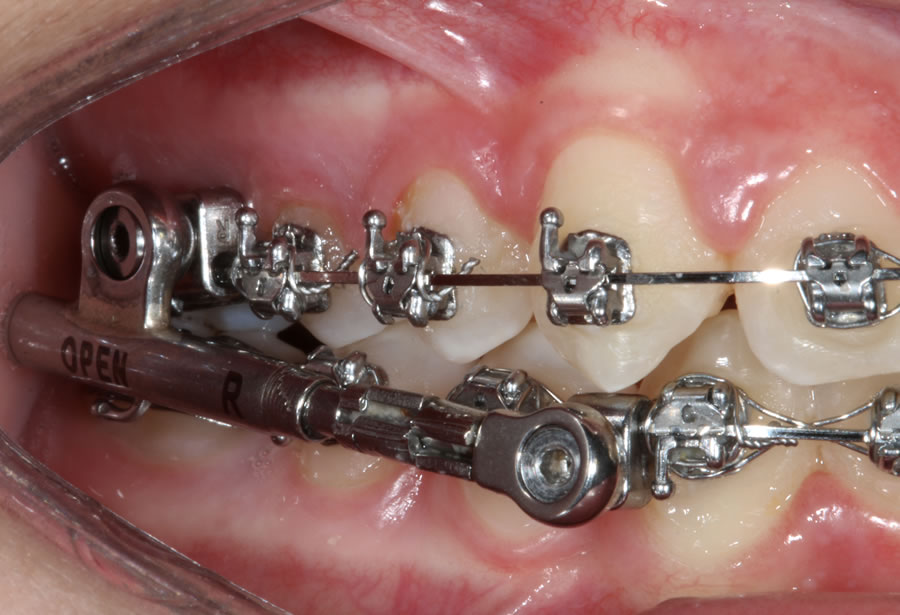
O aparelho PowerScope é formado por um sistema telescópico com 3 partes que se encaixam, e que não vão soltar durante o tratamento, ajudando a evitar visitas de emergência desnecessárias. O Mecanismo interno possui uma mola de níquel titânio, que fornece uma força de 260 gramas para a ativação contínua durante o tratamento. Não junta restos de alimentos como outros propulsores que possuem a mola exposta ao meio bucal, o que dificulta a limpeza, e acarreta maior chance de machucar a bochecha. Além disso, possui uma conexão “fio a fio” para uma instalação rápida e fácil. O sistema telescópico possui travas com parafusos sextavados nas extremidades, as quais o fixam no arco do aparelho fixo.


Durante o tratamento da Classe II, deve-se sobrecorrigir a relação molar em 1 a 2 mm, e o segmento posterior também deve estar ligeiramente sobre corrigido. Além disso, o trespasse horizontal deve ter sido eliminado, e os incisivos superiores também devem estar com o seu torque ideal.


Normalmente, num tratamento da Classe II com o aparelho PowerScope, começa-se com a montagem do aparelho fixo com bráquetes. Os dentes superiores e inferiores são alinhados por um período de 6 meses. Após esse alinhamento inicial é que se instala o PowerScope, que deverá ser utilizado por um período de 5 a 8 meses. Remove-se o PowerScope, e passa-se para a fase final do tratamento, onde serão ajustados os detalhes finais visando um perfeito encaixe entre os dentes. Essa fase deve durar de 6 meses a 1 ano. Após a finalização do tratamento, remove-se o aparelho fixo e instalam-se as contenções nas arcadas superior e inferior.
