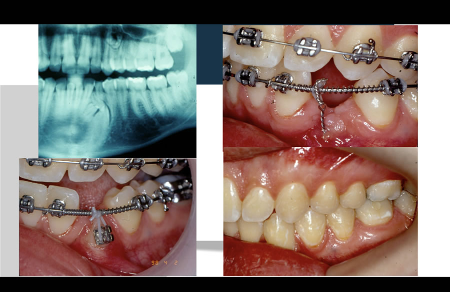
Canino Impactado
 
			Alguns pacientes possuem dentes que ficam inclusos dentro dos ossos da arcada superior (maxila) e da arcada inferior (mandíbula).
Dentre os dentes acometidos por esse problema, destacam-se o canino superior e o inferior.
Nesses casos, faz-se necessário um exame radiográfico detalhado dos ossos para avaliar a posição exata do dente. Em alguns casos, pode ser necessário, até mesmo, a utilização da tomografia computadorizada.
Normalmente, o paciente fica inicialmente em torno de 1 ano com o aparelho fixo a fim de fazer o alinhamento inicial.
 
			Após essa fase, faz-se uma exposição cirurgia do dente com um cirurgião Bucomaxilofacial, onde um acessório (botão metálico) é colado no dente a fim de permitir o seu tracionamento. O tempo para o tracionamento do dente é imprevisível e pode durar no mínimo 6 meses. Após o tracionamento, segue-se o tratamento ortodôntico a fim de acertar a oclusão (mordida) e o alinhamento dos dentes.
 
			 
			 
			 
					





