Ortodontia Infantil de Alta Tecnologia


Sorrisos saudáveis começam cedo. Na Moro Ortodontia, oferecemos soluções modernas e confortáveis para o cuidado ortodôntico de crianças, unindo 30 anos de experiência clínica do Dr. Alexandre Moro com as tecnologias mais avançadas do mundo para cuidar do sorriso das crianças com conforto, precisão e previsibilidade.
Invisalign First – Ortodontia Infantil com Conforto e Precisão
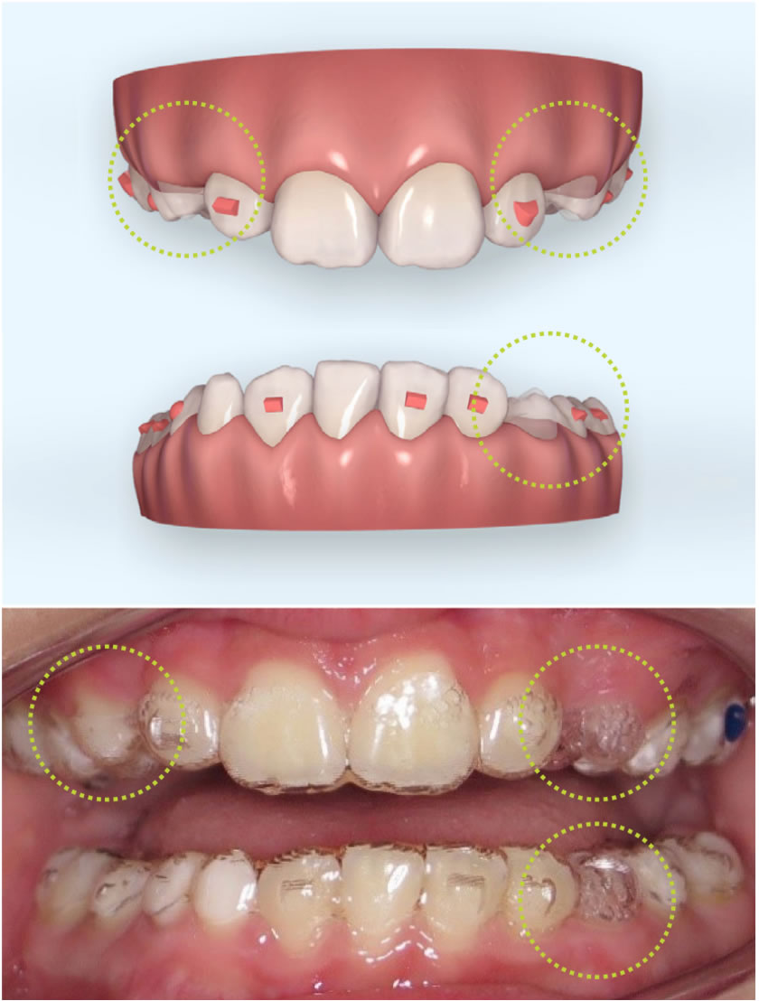
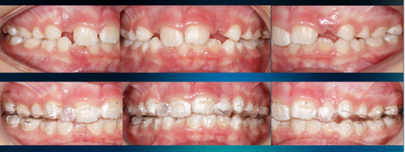
O Invisalign First é o sistema de alinhadores transparentes desenvolvido especialmente para crianças em fase de crescimento. Ele corrige problemas de mordida e alinhamento de forma confortável, removível e praticamente invisível, tornando o tratamento muito mais fácil para os pequenos e para os pais.


Vantagens do Invisalign First:
- ✅ Conforto: sem fios ou braquetes, evitando machucados na boca.
- ✅ Higiene facilitada: alinhadores removíveis para escovação e alimentação.
- ✅ Adaptação rápida: ideal para crianças ativas.
- ✅ Acompanhamento digital: simulação e previsibilidade dos resultados.
💡 Indicado para: crianças de 6 a 10 anos com necessidade de correções ortodônticas iniciais (fase de dentição mista.




Perguntas frequentes – Invisalign First
1. O que é o Invisalign First?
O Invisalign First é uma versão do sistema Invisalign desenvolvida especialmente para crianças em fase de crescimento. Ele utiliza alinhadores transparentes e removíveis para corrigir problemas ortodônticos desde cedo, de forma confortável e discreta.
2. A partir de que idade meu filho pode usar o Invisalign First?
Geralmente, o tratamento pode começar entre 6 e 10 anos de idade, fase conhecida como dentição mista (quando a criança tem dentes de leite e dentes permanentes juntos).
3. Quais problemas o Invisalign First pode tratar?
- Dentes apinhados (falta de espaço)
- Sobremordida, mordida aberta ou cruzada
- Espaços excessivos entre os dentes
- Preparação para a erupção correta dos dentes permanentes
- Falta de crescimento da mandíbula. Utiliza o “Precision Wings” para estimular o crescimento mandibular.
4. Quais são as vantagens em relação ao aparelho fixo tradicional?
- Conforto: não possui fios ou bráquetes que machucam a boca
- Higiene: os alinhadores são removíveis, facilitando a escovação e uso do fio dental
- Estética: são praticamente invisíveis
- Alimentação: a criança pode comer sem restrições, já que os alinhadores são retirados para as refeições
- Adaptação: os alinhadores são feitos sob medida e costumam ter rápida aceitação pelas crianças
5. O Invisalign First realmente consegue expandir a arcada dentária?
Sim. Os alinhadores do Invisalign First são capazes de realizar movimentos de expansão, criando espaço para os dentes permanentes nascerem de forma adequada, quando indicado pelo ortodontista.
6. Como funciona o tratamento no dia a dia?
A criança deve usar os alinhadores em média 20 a 22 horas por dia, retirando apenas para comer e escovar os dentes. A cada 1 ou 2 semanas, um novo conjunto de alinhadores é utilizado, promovendo movimentos dentários graduais.
7. Os alinhadores incomodam ou doem?
Podem causar um leve desconforto nos primeiros dias de cada troca de alinhador, mas geralmente é bem tolerado pelas crianças.
8. O tratamento é eficaz mesmo em crianças pequenas?
Sim. Diversos estudos e casos clínicos mostram que o Invisalign First é eficaz e previsível quando bem indicado e acompanhado por um ortodontista experiente.
9. Quanto tempo dura o tratamento?
O tempo varia conforme o caso e os objetivos do tratamento, mas em média dura entre 12 e 18 meses na fase inicial. Posteriormente, o ortodontista pode indicar outras fases de acompanhamento até a adolescência.
10. Por que escolher a Moro Ortodontia para o tratamento com Invisalign First?
A Moro Ortodontia é referência no uso do sistema Invisalign, com mais de 30 anos de experiência em ortodontia e pioneirismo em tratamentos com alinhadores para crianças no Brasil. Nossa equipe já tratou com sucesso muitos casos de Invisalign First, sempre com foco em resultados clínicos previsíveis, tecnologia de ponta e conforto para os pequenos pacientes.
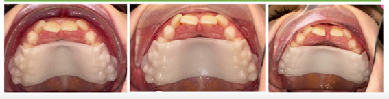
Novo Palatal Expander – Expansor Palatino Digital
O Novo Palatal Expander é uma evolução dos aparelhos expansores tradicionais. Integrado à tecnologia Invisalign e ao escaneamento digital iTero, ele permite ampliar o arco dentário de forma precisa, controlada e mais confortável para a criança.







Vantagens do Novo Palatal Expander:
- ✅ Digital e personalizado: planejado a partir de imagens 3D do paciente.
- ✅ Mais conforto: sem peças volumosas e sem a necessidade de moldagens tradicionais.
- ✅ Controle total: acompanhamento preciso do progresso pelo ortodontista.
- ✅ Estética discreta: design moderno e menos invasivo.
💡 Indicado para: casos em que é necessário ampliar o espaço no arco dentário para melhorar a mordida e alinhar os dentes permanentes que ainda irão nascer.
📅 Agende a avaliação do seu filho(a) e conheça as soluções que unem cuidado, conforto e tecnologia para transformar o sorriso desde cedo.
Perguntas frequentes – Novo Palatal Expander
1. O que é o Novo Palatal Expander?
É um expansor palatino digital que amplia o arco dentário da criança, criando espaço para o alinhamento correto dos dentes permanentes.
2. Qual a diferença para os expansores tradicionais?
Além de ser planejado digitalmente, mais confortável e discreto, não possui parafuso.
A ativação é feita trocando a placa, o que facilita muito para os pais e evita desconfortos comuns dos modelos antigos.
3. Para que serve o Palatal Expander?
Corrige problemas de mordida e falta de espaço na arcada dentária, ajudando no crescimento adequado da boca.
4. O tratamento dói?
Pode haver um leve desconforto nos primeiros dias, mas geralmente é muito bem tolerado pelas crianças.
5. É indicado para qual idade?
Principalmente para crianças em fase de crescimento, quando o osso da maxila ainda pode ser expandido com facilidade.
6. Quanto tempo dura o tratamento?
Geralmente de 4 a 6 meses, dependendo da necessidade de expansão.
7. O Palatal Expander é usado junto com o Invisalign First?
Pode ser usado isoladamente ou combinado com o Invisalign First para resultados mais completos.
8. O aparelho interfere na fala ou na alimentação?
Nos primeiros dias pode haver uma leve adaptação, mas rapidamente a criança se acostuma.